Prof. Dr. Nevzat Karabulut'tan Kalpteki Gizli Delik Uyarısı
Prof. Dr. Nevzat Karabulut'un Radiology dergisinde yayımlanan çalışması, kalpteki gizli deliklerin neden olabildiği paradoks embolinin hayati riskini ortaya koydu.
Bir Vakanın Hayat Kurtaran Hikayesi
Özel Denizli Tekden Hastanesi’nde de görev yapmış olan Radyoloji Uzmanı Prof. Dr. Nevzat Karabulut, uluslararası arenada ses getiren bir çalışmaya imza attı. Prof. Dr. Karabulut'un, dünyanın önde gelen tıp dergilerinden Radiology'nin 2025 Kasım sayısında yayımlanan "Paradoxical Embolism with Clot-in-Transit in Atrial Septal Defect" başlıklı makalesi, penis ameliyatından beş gün sonra ani göğüs ağrısı, nefes darlığı ve kol uyuşması şikayetleriyle başvuran 60 yaşındaki bir hastanın vakasını mercek altına aldı.
Görüntüleme Teknolojisi ile Gizli Tehlike Ortaya Çıktı
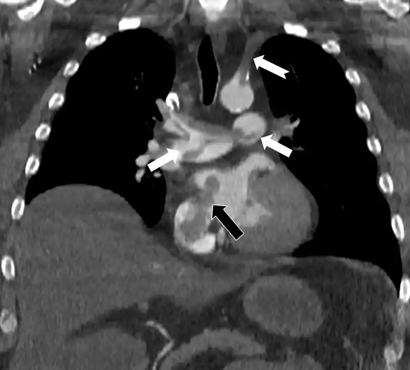
Yapılan ileri görüntüleme tetkikleri, hastadaki hayati tehlikenin kaynağını net bir şekilde gösterdi. Akciğerin bilgisayarlı tomografi anjiyografisi, toplar damarlardan kaynaklanan bir pıhtının akciğer damarlarını tıkamasının yanı sıra, daha önce fark edilmemiş bir kalp deliğinden (atrial septal defekt) geçerek kalbin sağ tarafından sol tarafına ulaştığını ve ana atardamara girerek sol kol damarını tıkadığını ortaya çıkardı. Bu durum, 'paradoks emboli' olarak adlandırılan ciddi bir tabloydu.
Uzmanından Kritik Uyarı ve Çağrı
Emboli görüntülemesi konusunda uzman olan Prof. Dr. Nevzat Karabulut, çalışmasıyla önemli bir uyarıda bulunuyor. Genellikle bacak damarlarından kaynaklanan pıhtılar ölümcül akciğer embolisine yol açabilirken, kalbinde delik olan hastalarda bu pıhtılar ana atardamar yoluyla beyin, kol veya bacak gibi vücudun diğer bölgelerine geçerek ani damar tıkanmalarına neden olabiliyor. Prof. Dr. Karabulut, nedeni bilinmeyen pıhtı atma vakalarında mutlaka kalpteki gizli deliklerin araştırılması gerektiğinin altını çiziyor. Ekokardiyografi ve bilgisayarlı tomografi gibi tetkiklerin, bu tehlikeli durumun erken ve doğru teşhisinde hayat kurtarıcı bir rol oynadığını vurguluyor.

